目次
千葉市緑区、土気駅徒歩5分のかつらやま歯科医院、歯科医師の今中ひろみです。当院は「できる限り削らない」「できる限り神経を残す」治療を行い、生涯ご自身の歯で噛むことができる、健康で笑顔の美しい生活をサポートすることをポリシーにしています。
このブログは3〜5分で読めます。
はじめに:誰もが一度は悩む「親知らず」の疑問
こんにちは。千葉市緑区、土気駅徒歩7分のかつらやま歯科医院、口腔外科出身で抜歯担当歯科医師の今中ひろみです。
日々の診療の中で、患者様から特によくいただくご質問の一つが、**「先生、親知らずってやっぱり抜かなきゃダメですか?」**というものです。
「親知らずの抜歯」と聞くだけで、痛そう、怖い、顔が腫れる……といったマイナスのイメージを抱く方は少なくありません。
「今は痛くないし、できればこのまま放っておきたい」というのが本音ではないでしょうか。
しかし、歯科医師の視点からお伝えすると、放置することで将来的に取り返しのつかないトラブルを招いてしまう親知らずがあるのも事実です。
今回は、その判断基準と当院の取り組みについて詳しくお話しします。

1. 「抜いておいたほうが良い親知らず」の4つのケース
-
① 痛みや腫れ(智歯周囲炎)を繰り返している 一番奥に生える親知らずは、歯ブラシが届きにくく細菌の温床になりがちです。体調が悪い時にだけ腫れる、といった状態を放置すると、炎症が周囲の組織に広がり、顎が開かなくなるほど悪化することもあります。
-
② 隣の歯の寿命を縮めている(最も危険なケース) 親知らずが斜めに生えていると、手前の大切な歯(7番目の歯)との間に深い隙間ができます。ここに汚れが溜まると、親知らずだけでなく、手前の健康な歯まで「深いむし歯」や「重度の歯周病」にしてしまいます。手前の歯を守るために、親知らずを抜くという選択は非常に重要です。
-
③ 歯並びに悪影響を及ぼしている 横向きに埋まっている親知らずが手前の歯をグイグイと押し続け、結果として全体の歯並びを乱してしまうことがあります。
④ 親知らず自体が大きなむし歯になっている 一番奥にあるため治療器具が届きにくく、一度治療しても再発するリスクが非常に高い場所です。無理に治療を繰り返すよりも、抜歯を選択したほうが将来的なお口全体の清潔さを保てる場合があります。
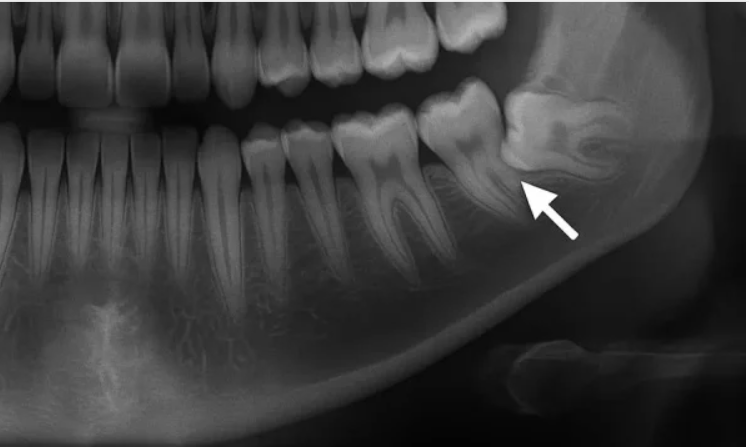
2. 精密な診断:レントゲンとCTで「安全」を可視化する
「抜くべきかどうか」を判断するために、当院では前回のブログでもお話しした「精密な検査」を欠かしません。
通常のデジタルレントゲンだけでなく、必要に応じて歯科用CTを使用します。
親知らずの根っこが顎の重要な神経や血管とどのくらい近いのかを3次元的に確認することで、偶発的な事故を防ぎ、安全でスムーズな処置を計画します。
「今すぐ困っていないから大丈夫」という主観的な判断ではなく、データに基づいた「客観的な将来予測」を丁寧にご説明し、納得いただいた上で次のステップへ進みます。

3. 「痛い?腫れる?」への不安に寄り添う
抜歯に対する最大のハードルは、やはり「恐怖心」ですよね。
-
処置中の痛みについて 当院では、麻酔の段階から痛みに配慮しています。しっかりと麻酔を効かせてから処置を行いますので、抜いている最中の痛みはほとんどありません。処置時間は、簡単なケースで20〜30分。骨の中に埋まっている複雑なケースでも30分〜1時間前後です。
抜歯後の腫れ・痛みについて 正直にお伝えすると、抜歯後は個人差がありますが、2日から1週間ほど腫れや痛みが出ることがあります。これは身体が傷を治そうとする正常な反応です。 当院では、痛みを最小限に抑えるためのお薬(痛み止めや抗生剤)を適切に処方し、服用方法も丁寧にご指導します。
4. 将来への投資としての抜歯
親知らずの抜歯を検討する際、ぜひ考えていただきたいのが「抜くタイミング」**です。
若いうちは骨が柔らかく、抜歯後の傷口の治りも早いです。一方、年齢を重ねてからトラブルが起きると、骨が硬くなって抜歯の負担が増えたり、持病(糖尿病や高血圧など)のために手術のリスクが高まったりすることがあります。
「まだ若いから」「今は痛くないから」ではなく、「体が一番元気な今のうちに、将来のトラブルの芽を摘んでおく」。
これは、将来の自分の歯を守るための立派な健康投資だと言えます。
結びに:まずはお気軽にご相談ください
かつらやま歯科医院の診療理念は、「一生涯、ご自身の歯で健康に過ごしていただくこと」です。親知らずの抜歯も、そのための手段の一つに過ぎません。
「怖いけれど、相談だけしてみたい」 「自分の親知らずが今どうなっているのか知りたい」
そんな思いをお持ちの方は、ぜひ当院のスタッフにお声がけください。動画でもお伝えしている通り、私たちは丁寧な説明と、患者様一人ひとりに寄り添った納得のいく治療を何よりも大切にしています。
あなたの不安を安心に変えるお手伝いを、私たちチーム全員でさせていただきます。
文責)かつらやま歯科医院 院長 歯学博士 葛山賢司
かつらやま歯科医院は、You tubeチャンネルでも歯と全身の健康に関するお役立ち情報を配信しています。ぜひこのブログと併せてご覧ください。
かつらやま歯科医院You tubeチャンネル:
https://www.youtube.com/channel/UC84KWEiMRh4Sg52MUCEQ-bg
抜歯担当歯科医師 今中歯科医師のご紹介動画はこちら:
https://youtube.com/shorts/OQvfJnvkkSY?feature=share
インスタグラム:https://www.instagram.com/kdckdckdc
歯についてお悩みの方は千葉市緑区、土気駅徒歩5分、かつらやま歯科医院までご相談ください。
267-0066 千葉市緑区あすみが丘2-16-7
043-295-3748
医院HP https://katsurayama-shikaiin.ccom
初めての方へ https://katsurayama-shikaiin.com/first/

